1. Giới thiệu: Làn sóng xà phòng trị mụn lưng handmade và xu hướng làm đẹp tự nhiên Những năm gần đây, xu hướng xà phòng handmade – đặc biệt là xà phòng trị mụn lưng handmade – đang trở thành lựa chọn yêu thích của nhiều phụ nữ yêu thích lối sống xanh và […]
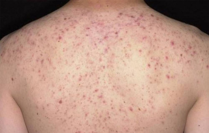
🟩 Combo trị mụn body toàn diện – Giải pháp sạch mụn, mềm da tự nhiên Hầu hết người Việt – đặc biệt là phụ nữ ở vùng khí hậu nóng ẩm – đều từng gặp mụn ở lưng, ngực hay mông. Đây là tình trạng “mụn body”, xuất hiện khi tuyến bã nhờn hoạt […]
Cách chọn xà phòng trị mụn phù hợp từng vùng da – Bí quyết da sạch mụn, mịn màng tự nhiên Nhiều người nghĩ rằng chỉ cần dùng một bánh xà phòng trị mụn cho toàn thân là có thể loại bỏ mụn ở lưng, ngực hay mông. Tuy nhiên, thực tế mỗi vùng da […]
Xà Phòng Trị Viêm Nang Lông Tay Chân – Giải Pháp Tự Nhiên Cho Làn Da Mịn Màng Nếu bạn từng nhìn xuống cánh tay hoặc đôi chân và thấy da sần sùi, nổi đỏ hoặc có những chấm nhỏ li ti giống mụn, rất có thể bạn đang gặp viêm nang lông. Đây là […]
Giới thiệu – Khi “sản xuất xà phòng handmade” trở thành một hành trình nghệ thuật. Nếu bạn từng cầm trên tay một bánh xà phòng handmade và cảm nhận mùi thảo mộc dịu nhẹ, có lẽ bạn chưa biết đằng sau đó là cả một hành trình sản xuất thủ công tỉ mỉ và […]
Giới thiệu: Vì sao review xà phòng trị mụn lưng Naturae trở thành chủ đề hot năm 2025 Trong năm 2025, cụm từ “review xà phòng trị mụn lưng Naturae” đang là từ khóa được người dùng Việt tìm kiếm nhiều nhất khi nói về các sản phẩm làm sạch và trị mụn body.Nguyên nhân […]
Giới thiệu: Vì sao “Top Xà Phòng Trị Mụn Lưng” luôn là từ khóa hot nhất mỗi năm? Trong 3 năm trở lại đây, nhu cầu tìm kiếm top xà phòng trị mụn lưng trên Google tăng hơn 250%, chứng minh rằng vấn đề mụn body – đặc biệt là vùng lưng và vai – […]
Giới thiệu: Vì sao xà phòng trị mụn lưng Nhật nổi tiếng – và đâu là lựa chọn tốt hơn cho da Việt? Trong thế giới sản phẩm chăm sóc da body, cụm từ “xà phòng trị mụn lưng Nhật” đã trở thành biểu tượng của sự sạch sâu và hiệu quả nhanh. Những thương […]
Xà Phòng Than Hoạt Tính Naturae – Bí Quyết Làm Sạch Sâu, Sáng Da, Detox Toàn Thân Chỉ Với Một Bánh Xà Phòng Thiên Nhiên Bạn có bao giờ cảm thấy da body luôn bí bách, nhờn dính dù đã tắm 2–3 lần/ngày? Hay vùng lưng, vai, ngực cứ lấm tấm mụn ẩn, da sần […]
Xà Phòng Thảo Dược Trị Mụn Lưng – Bí Quyết 100% Thiên Nhiên Giúp Lưng Sạch Mụn, Mịn Màng, Tự Tin Mặc Áo Hở Chỉ Sau 3–6 Tuần Bạn đã từng đứng trước gương và thở dài vì vùng lưng chi chít mụn li ti, mụn ẩn, thâm sạm và sần sùi? Bạn ngại mặc […]










